OSI Physical Therapy
Proudly serving the Twin Cities for over 45 years.
Menu
About Us
Services
Clinics
Forest Lake Clinic
Hugo Clinic
Maplewood Clinic
Oakdale Clinic
Shoreview Clinic
Somerset Clinic
Stillwater Clinic
West Saint Paul Clinic
White Bear Lake Clinic
3M Center Clinic
Meet the Team
Physical Therapists
Athletic Trainers
Administrative Staff
Contact Us
Book Online
Book Online
Lori Bularz
The Difference Between A Sprain And A Strain
March 2, 2015
Strategies For Better Sleep When Recovering From A Concussion
February 27, 2015
How Smoking Can Affect Your Physical Therapy Outcomes
October 29, 2014
4 Tips: The Ergonomics Of Breastfeeding
August 12, 2014
How A Plunger Can Help With IT Band Issues
July 16, 2014
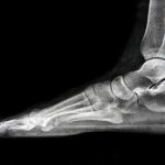
Do I Need An X-ray? Simple Ankle And Foot Rules
June 3, 2014
Part 2: Music To Run To At 170-180 Beats Per Minute
May 6, 2014
My Cleats Hurt My Feet!
April 23, 2014
How to Tape Low Back Pain with Kinesio Tape | Sports Strapping Tape
April 10, 2014
Which 4 Muscle Groups Should Every Female Athlete Be Training?
April 10, 2014
Music To Run To At 170-180 Beats Per Minute
March 25, 2014
Page
1
Page
2